Kieferorthopädie
Schienentherapie
Kieferorthopädie ist in jedem Lebensalter möglich: Kinder, Jugendliche, Erwachsene, Senioren
Natürlich kann im Kindes- und im frühen jugendlichen Alter durch gezielte Stimulation des Wachstums eine optimale Korrektur genutzt werden. Doch auch als Erwachsener sollten Sie sich nicht mit lückigen, engstehenden oder verschachtelten Zähnen abfinden. Zahnfehlstellungen können in jedem Lebensalter unsichtbar korrigiert werden. Unsichtbare Zahnkorrektur mit sichtbarem Erfolg.
Alphalign® - einfach.schöner.lächeln.
Und eine akkurat ausgeformte Zahnstellung ist allein schon Prophylaxe und verringert Ihr Risiko, an Karies oder Parodontitis (Zahnfleisch- und Zahnbetterkrankungen) zu erkranken.
Mit Zahnbehandlungen Steuern sparen
Gesundheitskosten wie Zahnbehandlungen können Sie steuerlich geltend machen. Bitte beraten Sie sich mit Ihrem Steuerberater.
Zahnspange: herausnehmbare und feste Zahnspange
Unsichtbare Zahnspange Alphalign® - einfach.schöner.lächeln.
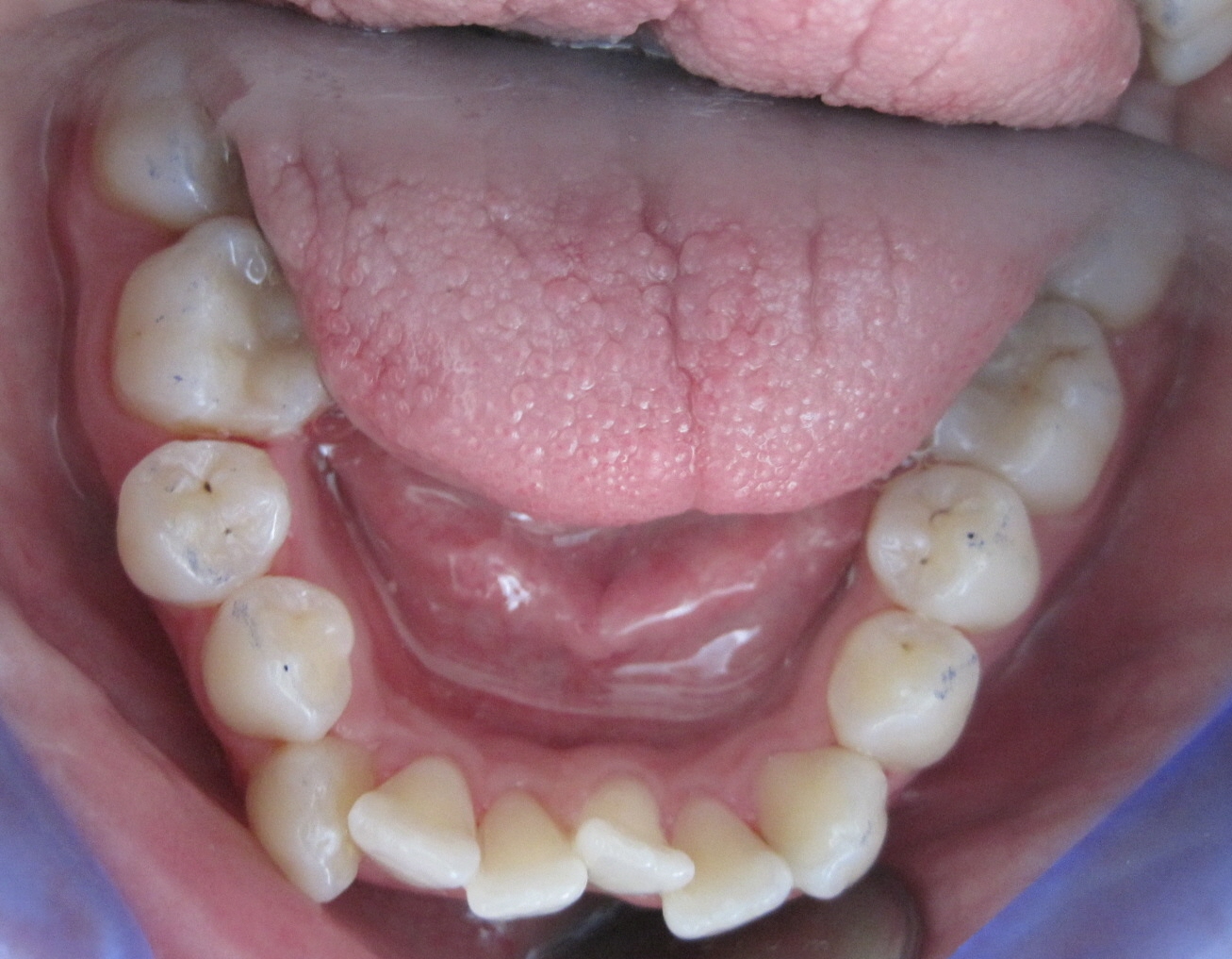
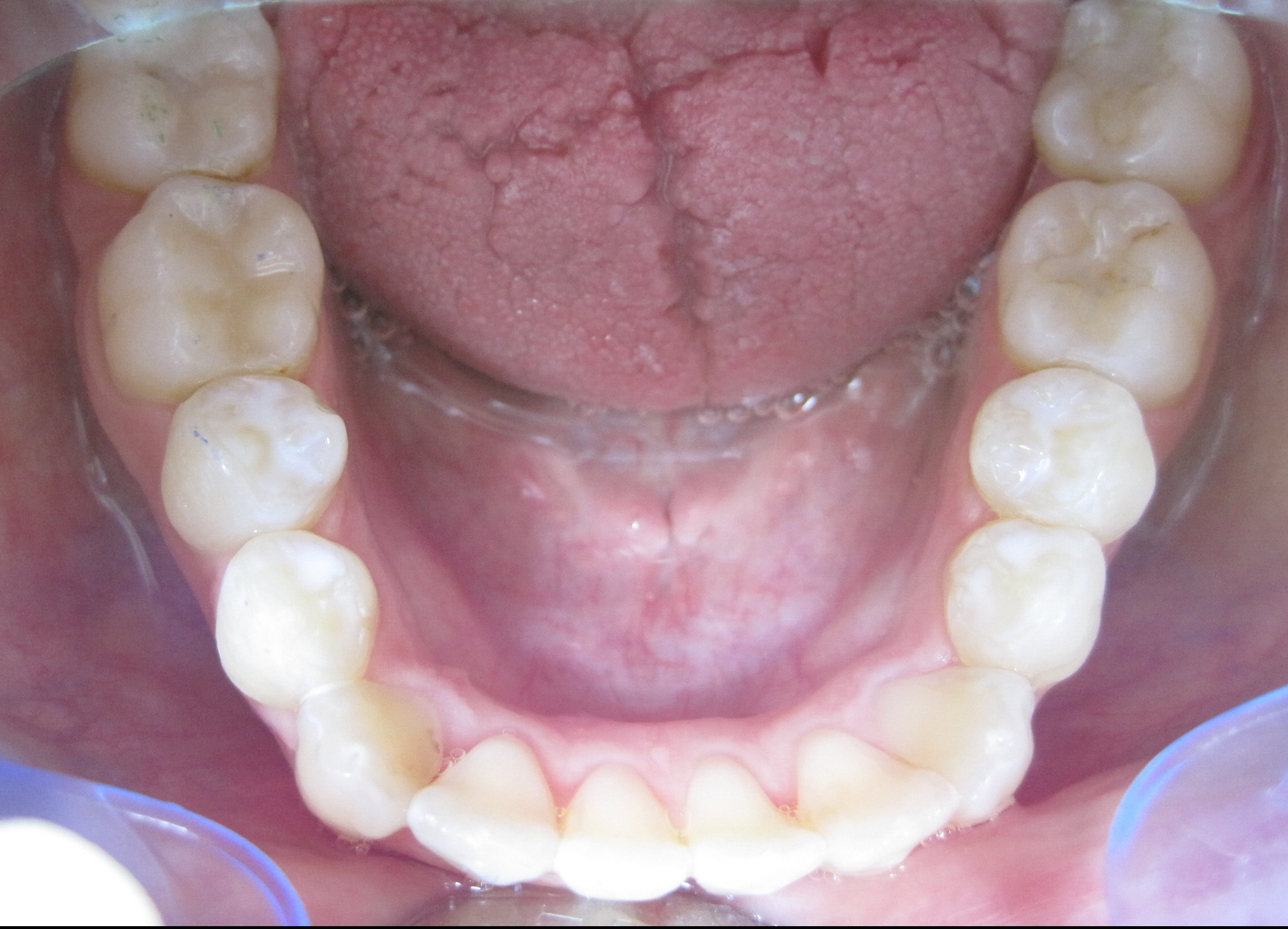
Patient 41 Jahre, massiver Unterkiefer-Frontzahn-Engstand: Alphalignbehandlung mit 15 Alphalignern, d.h. 7,5 Monate Behandlungszeit, jetzt viel bessere Pflege möglich, da akkurater Zahnbogen, dadurch geringeres Risiko von Karies sowie Zahnfleisch- und Zahnbetterkrankungen

vorher

nachher (nach 7,5 Monaten Behandlungszeit)

